Paciente 52anos, feminina, há 4 meses apresentando dor torácica e dispnéia com piora progressiva, tosse e disfagia, refere perda ponderal de aprox 8kg.
AP: Megaesofago chagásico, Carcinoma basocelular de pele retirado há 6 anos
Nega uso contínuo de medicação, nega tabagismo e etilismo, trabalhadora rural
SINAIS: PA: 110x56mmHg, FC: 115bpm, FR: 28irpm Sat: 85% em AA, glicemia: 116mg/dl, Tax.: 36.7C
.
Estado geral: dispneica, emagrecida, consciente e orientada, pouco comunicativa, queixando de muita dor torácica
AR: MV abolido em hemitorax direiro e macicez a percussão difusa, presente e sem RA à esquerda, esforço respiratório moderado
ACV: 2BNF sem sopro, sem turgência jugular, perfusão periférica normal
Abdome: sem alteração
MMII: sem edema
Principais hipóteses: tuberculose, neoplasia, pneumonia

.
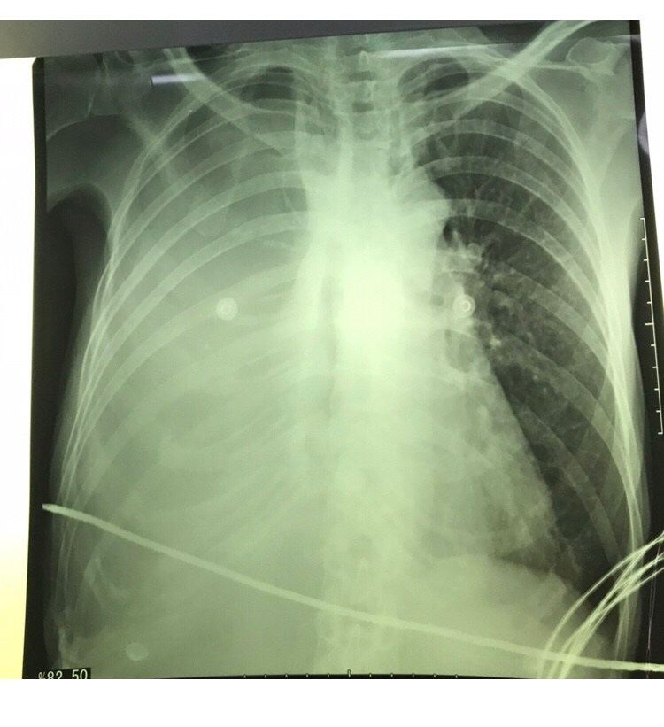
RX de torax no leito: opacidade difusa em hemitorax direito, área cardíaca normal
E
US à beira leito: lextenso derrame pleural à direita com presença de grumos
.
Paciente em desconforto respiratório, sem diagnóstico prévio que justifique o derrame pleural, e possibilidade de empiema (que necessita intervenção imediata), portanto indicado: TORACOCENTESE DIAGNÓSTICA
DERRAME PLEURAL
Em quem devo fazer toracocentese?
Em quem devo fazer drenagem de toráx?
.
Quando não se tem o diagnóstico firmado de uma doença capaz de explicar o derrame pleural (ex: insuficiência cardíaca congestiva, neoplasias disseminadas que cursam com derrame pleural), este deve ser estudado a partir da toracocentese.
Excepcionalmente, derrames pequenos podem ser observados, considerando pequenos aqueles que, na radiografia de tórax em decúbito lateral, têm espessura inferior a 1 cm.
Em algumas situações, a toracocentese fornece o diagnóstico de imediato: empiema, quilotórax e hemotórax.
É transudato ou exsudato?
Use os Critérios de Light :

A presença de qualquer um dos três critérios de exsudato é suficiente para sua caracterização e a presença dos três critérios de transudato é necessária para sua caracterização.
Nos transudatos, não há envolvimento primário da pleura, não havendo necessidade de futuros estudos do líquido pleural ou biópsias pleurais. O diagnóstico deve ser conduzido na direção de doenças que cursam com aumento da pressão hidrostática, diminuição da pressão oncótica, diminuição da pressão no espaço pleural ou comunicação com a cavidade peritoneal.
Nos exsudatos, o derrame pleural é, em geral, conseqüência de processos infecciosos, inflamatórios ou neoplásicos da pleura e estudos mais detalhados do líquido serão indicados conforme a suspeita clínica.
PNEUMONIA E DERRAME PLEURAL
A incidência de derrame pleural nas pneumonias varia de 36% a 57%, sendo sua presença considerada como um fator de pior prognóstico, com maior morbidade e mortalidade.
A conduta frente à pneumonia com derrame pleural é a toracocentese, exceto em casos em que o derrame é muito pequeno, de difícil punção (derrames com espessura menor que 10 mm na radiografia de tórax em decúbito lateral com raios horizontais, ou apenas pequena obliteração do seio costofrênico na radiografia em PA). Nestes casos o paciente deverá ser submetido a um controle radiográfico em 48 horas e, caso o derrame pleural tenha aumentado, a toracocentese deve então ser realizada.
Um dos objetivos da toracocentese na pneumonia é a tentativa do diagnóstico do agente etiológico, embora ele seja possível apenas nas formas mais avançadas de derrame pleural. Em função disso, a toracocentese deve ser feita o mais rápido possível, preferencialmente antes do início da antibioticoterapia, a qual, entretanto, não pode ser retardada devido à gravidade do quadro infeccioso. O líquido puncionado deverá ser enviado para análise do Gram e cultura, incluindo, se possível, cultura para anaeróbios.
Outro objetivo da toracocentese é diagnosticar o estágio de evolução em que se encontra o derrame pleural. Atualmente, a maioria dos autores considera três estágios evolutivos dos derrames pleurais associados à pneumonia:
- DERRAME PARAPNEUMÔNICO NÃO COMPLICADO
- ocorre nas primeiras 48-72 horas do quadro pneumônico, sendo geralmente de pequeno volume. O quadro inflamatório pulmonar promove aumento da permeabilidade capilar com extravasamento de líquido para o interstício pulmonar, aumentando o gradiente de pressão entre este e o espaço pleural, levando ao direcionamento deste líquido para aquele espaço. Além disso, processos inflamatórios subpleurais podem levar ao aumento da permeabilidade de capilares da pleura, que também contribuirão para a formação do derrame pleural. Quando o volume de líquido que chega ao espaço pleural for maior do que a capacidade de drenagem linfática, formar-se-á o derrame pleural parapneumônico. Embora já nessa fase possa haver invasão bacteriana no espaço pleural, esta é pequena e as bactérias são fagocitadas e destruídas. Sendo assim, o derrame parapneumônico não complicado é estéril. Trata-se de um exsudato, com número de células aumentado, com predomínio de polimorfonucleares. O exame do líquido mostra níveis de glicose acima de 60 mg/dl, DHL menor que 500 u/l e pH maior que 7,30.
- O tratamento do derrame parapneumônico não complicado resume-se ao tratamento antimicrobiano da pneumonia, não havendo necessidade de drenagem torácica. No momento da toracocentese diagnóstica, pode-se proceder ao esvaziamento da cavidade pleural, principalmente nos derrames maiores, que são raros, e nos pacientes dispnéicos. A presença do derrame pleural não nos permite inferir sobre nenhum agente etiológico específico.. A escolha inicial do tratamento é empírica, baseada na idade, presença ou não de comorbidades e critérios de gravidade da pneumonia.
- DERRAME PARAPNEUMÔNICO COMPLICADO:
- O derrame pleural parapneumônico complicado é decorrente da persistência da pneumonia, ou por não tratamento, ou por tratamento inadequado, ou por resposta inadequada do paciente ao tratamento. Ocorre invasão do espaço pleural por um número crescente de bactérias, que passam a se multiplicar, não sendo mais totalmente destruídas pelas defesas do organismo. Essa fase também é denominada de fibrinopurulenta. Nela o derrame pleural aumenta de volume e o líquido torna-se mais turvo e facilmente coagulável, podendo iniciar a formação de septações. A análise do líquido mostra um aumento progressivo do número de células, com predomínio de polimorfonucleares, níveis progressivamente maiores de proteínas (>3,5 g/dl) e DHL (>1000 u/l), e menores de pH (<7,10) e glicose (<40 mg/dl, ou relação glicose pleural e plasmática <0,5).
- O derrame parapneumônico complicado deve ser drenado precocemente, caso contrário, procedimentos maiores, incluindo toracotomia e decorticação pulmonar, podem ser necessários, em função da formação de múltiplas lojas pleurais e espessamento das pleuras visceral e parietal. Além dos dados laboratoriais acima citados, outros achados que sugerem a necessidade de drenagem do derrame parapneumônico são: presença de sintomas prolongados (mais de uma semana); ausência de resposta clínica à antibioticoterapia; radiografia de tórax mostrando derrame pleural volumoso, ou com nível hidro-aéreo, ou com loculações, ou com sinais de espessamento pleural (achados mais comuns nas fases de empiema); identificação do agente etiológico pelo gram ou cultura.
- O derrame pleural parapneumônico complicado é decorrente da persistência da pneumonia, ou por não tratamento, ou por tratamento inadequado, ou por resposta inadequada do paciente ao tratamento. Ocorre invasão do espaço pleural por um número crescente de bactérias, que passam a se multiplicar, não sendo mais totalmente destruídas pelas defesas do organismo. Essa fase também é denominada de fibrinopurulenta. Nela o derrame pleural aumenta de volume e o líquido torna-se mais turvo e facilmente coagulável, podendo iniciar a formação de septações. A análise do líquido mostra um aumento progressivo do número de células, com predomínio de polimorfonucleares, níveis progressivamente maiores de proteínas (>3,5 g/dl) e DHL (>1000 u/l), e menores de pH (<7,10) e glicose (<40 mg/dl, ou relação glicose pleural e plasmática <0,5).
- EMPIEMA PLEURAL:
- O empiema pleural é a presença de pus na cavidade pleural. Na maioria das vezes o empiema pleural está associado a uma pneumonia bacteriana subjacente, constituindo-se na progressão do derrame para-pneumônico complicado. Entretanto, outras causas de empiema pleural são descritas,
- • Pneumonia bacteriana • Abscesso pulmonar • Pós-operatório • ressecções pulmonares • cirurgia esofagiana • pequenos procedimentos (ex: toracocentese) • Mediastinite • perfuração esofagiana • abscesso dentário • Abscesso subfrênico • Pielonefrite • Traumatismo torácico com perfuração • Embolia pulmonar séptica • Artrite reumatóide • Uso de drogas endovenosas (punção de subclávia)
- Além da antibioticoterapia, é necessária a drenagem completa da cavidade pleural. O procedimento cirúrgico inicialmente proposto é quase sempre a drenagem pleural fechada. A eficácia dessa drenagem deve ser acompanhada pelas melhoras clínica e radiográfica do paciente, e pelo aspecto e volume do líquido drenado. Ocorrendo melhoras clínica e radiográfica e redução do débito do dreno para menos que 50 ml/dia, com líquido seroso, o dreno torácico pode ser retirado.
- Não havendo melhora clínica e/ou radiográfica, deve-se suspeitar que a drenagem pleural não está totalmente eficaz, principalmente pela possível presença de lojas que não estão sendo atingidas pelo dreno. Nestes casos, exames de imagens (ultrassonografia e/ou, principalmente, tomografia computadorizada) devem ser realizados, para melhor caracterização do envolvimento pleural. A tomografia pode ainda ser útil em identificar a presença de alterações concomitantes no parênquima pulmonar, como câncer ou abscesso de pulmão. A partir desses estudos, novas drenagens podem ser tentadas, mas se houver um grande número de septações no espaço pleural, procedimentos mais invasivos são habitualmente necessários.
- Entre esses procedimentos, podem ser realizadas a vídeo-toracoscopia com drenagem do empiema ou a toracotomia com drenagem e decorticação pleural. Em pacientes muito debilitados, onde os riscos destes procedimentos cirúrgicos são grandes, pode-se realizar a drenagem aberta do espaço pleural, até que o paciente melhore e possa ser submetido à decorticação pleural.
- Alguns autores sugerem a utilização de trombolíticos em pacientes com empiema pleural que não foram resolvidos completamente com a drenagem torácica fechada, antes que procedimentos mais invasivos sejam realizados. Outros já sugerem essa conduta ainda em fase mais precoce do derrame parapneumônico complicado. Nesses casos, pode-se usar a estreptoquinase (250.000 u) ou a uroquinase (100.000 u), diluídas em 100 ml de soro fisiológico e injetadas no espaço pleural. Em caso de melhora clínica e radiográfica, o procedimento é repetido diariamente, enquanto houver drenagem purulenta. Entretanto, se em dois dias não houver melhoras, o paciente deve ser submetido aos procedimentos invasivos descritos acima
- O empiema pleural é a presença de pus na cavidade pleural. Na maioria das vezes o empiema pleural está associado a uma pneumonia bacteriana subjacente, constituindo-se na progressão do derrame para-pneumônico complicado. Entretanto, outras causas de empiema pleural são descritas,
CONTINUANDO O CASO:
Durante toracocentese saída de líquido amarelo turvo, não compatível com empiema.
Retirada de 20ml para análise e cultura, e depois retirada de aprox 800ml para alívio.
(Evita-se retirar mais do que 1.500ml pela possibilidade rara de edema pulmonar de re-expansão)
Para a análise do líquido foi solicitado rotina geral, dosagem de proteínas, DHL (para o calculo dos critérios de Light), pH, glicose, amilase, triglicerideos, citologia diferencial, gram, ADA (Mas pode ser solicitado quaisquer outra análise que se achar necessário).
Resultado:
Albumina: <2, Proteína 70g/dl, glicose: 40mg/dl, amilase: 1342*, triglicerideos: 64mg/dl, Citometria: hemacias: 4/mm3, células nucleadas: 2640/mm3, neutrófilos: 63% linfócitos: 32% (não foi dosado o DHL e ADA)
Bacterioscopia: Presença de numerosos cocos gram-positivos em cadeias
Como apenas a presença de um dos critérios de Light já pode caracterizar o liquido como exsudado, já temos nossa análise:
Proteínas líquido pleural / Proteína sérica = 11 (>0,5 é exsudato)
Iniciado antibioticoterapia para pneumonia com derrame pleural complicado.
E esse amilase tão elevada?
A presença de bactérias na amostra em grande quantidade, já é um indicativo de drenagem de toráx (especificado abaixo).
Mas como houve melhora da dispnéia, e a possibilidade de realização do exame, foi optado por TC de toráx com contraste para melhor avaliação do quadro pulmonar, por se tratar de história arrastada e grande possibilidade de coleções, antes de realizar o dreno de toráx.
Laudo:
Esofago acentuadamente dilatado, exibindo provável soluções de continuidade adjacentes em sua parede medial ifnerior direita com a cavidade pleural de aprox 0,9cmx1,4cm, notando-se acentuado derrame pleural com material heterogêno com focos gasosos, devendo representar conteúdo alimentar. (sem demais alterações)
Quadro clínico e achados compatível com Perfuração de Esôfago!
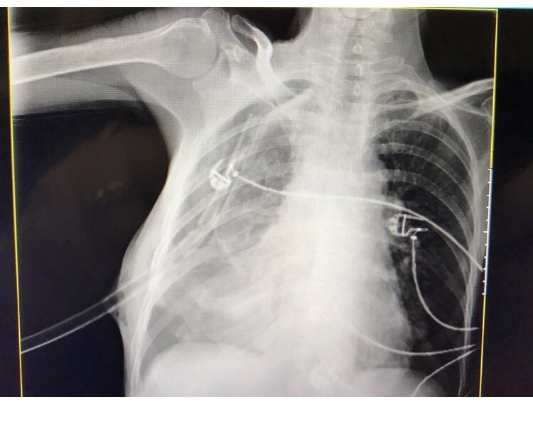
Realizado drenagem de toráx de conteúdo turvo e alimentar.
A seguir realizado EDA para avaliar e esofago na busca pela causa da fístula esofago-torácica (principal suspeita neoplasia)
Resultado: encaminhado material para biopsia.
Paciente encaminhada aos cuidados da cirurgia torácica para acompanhamento e tratamento definitivo.
PERFURAÇÃO DE ESÔFAGO
Epidemiologia:
Etiologia mais freqüente: lesão iatrogênica após endoscopia digestiva alta e ecotransesofágico(60%).(1) Pode ocorrer também secundariamente à ânsia de vômito (síndrome de Booerhave), ingestão cáustica, trauma, corpo estranho ou malignidade. Apesar dos avanços na tecnologia de imagem e técnicas para reparo cirúrgico, a mortalidade associada é de 40%.(1)
Fatores de risco: Condições com predisposição para a necessidade de endoscopia, biópsia ou dilatação: esofagite de refluxo, hérnia de hiato, estenoses, acalasia.
Apresentação Clínica: Os pacientes podem relatar dor localizada no peito / epigastro ou ombro; dor abdominal, náusea, disfagia, dispneia e / ou febre.
Avaliação e Tratamento: (2,3)
- Comece pelo ABC e obtenha os sinais vitais.
Não é incomum que os pacientes se apresentem com SIRS / sepse secundário à mediastinite.(1)
Realize história e exame físico completo: (1,2)
Pergunte especificamente sobre eco-transesfágico recente ou endoscopia.
Exame físico:
- Cardíaco: possível sinal de Hamman. (O sinal de Hamman (mais raramente, o sinal de Hammond[1] ou a mastigação de Hammond[2]) é o som de mastigação, estridente, sincronizado aos batimentos cardíacos,[3] ouvido sobre o precórdio no enfisema mediastinal espontâneo produzido pelo batimento cardíaco contra os tecidos preenchidos de ar.)
- Abdome: pode ter defesa ou rigidez (ruptura intra-abdominal).
Avaliação laboratorial: hemograma completo: leucocitose comum.
Imagem:
- Radiografia torácica: pode demonstrar pneumomediastino, pneumotórax, enfisema subcutâneo ou derrame pleural.
- Esofagograma de gastrograffin (teste no DE de escolha): irregularidade esofágica ou extravasamento de contraste.
Pacientes nos quais a imagem inicial é negativa, mas os sinais / sintomas são altamente sugestivos de perfuração => parecer ao especialista.
- É recomendado repetir a imagem em 4-6 horas.(3)
- Endoscopia deve ser considerada.(3)
Tratamento: (2.3)
Iniciar antibióticos de amplo espectro:
- Piperacilina / tazobactam (3,375 g IV) ou
- Cefotaxima (2 g IV) ou ceftriaxona (2 g IV) + clindamicina (600 mg IV) ou metronidazol (15 mg / kg IV, depois 7,5 mg / kg IV q 6 h, máx. 1 g / dose).
Reanimação com hidratação, conforme apropriado.
Definição=> todos os pacientes necessitam de hospitalização.
Dicas:
Os indivíduos com perfuração esofágica podem ser manejados cirurgicamente ou não, de acordo com: o estado hemodinâmico do paciente, a localização e o tamanho do defeito, se a perfuração é “livre” ou “contida” e o grau de contaminação.
A perfuração intra-abdominal do esôfago geralmente se manifesta como peritonite.(1)
References:
- Maxwell R, Reynolds J. The Management of Esophageal Perforation. In Current Surgical Therapy. Philadelphia, PA, Elsevier. 2017.
- Sokolosky M. Esophageal Emergencies. In Tintinalli’s Emergency Medicine Manual. 8th ed. New York, NY. McGraw-Hill. 2018.
- Soreide J, Viste A. Esophageal perforation: diagnostic work-up and clinical decision-making in the first 24 hours. Scand J Trauma Resusc Emerg Med. 2011; 19-66.
Mediastinite: noções básicas
O mediastino é o espaço entre os sacos pleurais que se estende do diafragma superiormente à abertura superior do tórax. A mediastinite é uma infecção que envolve as estruturas do mediastino, e essa doença é uma emergência cirúrgica com conseqüências potencialmente devastadoras e uma séria ameaça às estruturas
BIBLIOGRAFIA:
→ TUDO SOBRE DERRAME PLEURAL: EXCELENTE ARTIGO DA UNIFESP: https://www2.unifesp.br/dmed/pneumo/Dowload/Derrame%20pleural.pdf
→ Rosen´s Emergency Medicine: concepts and clinical practice: Cap 67 Pleural Disease
→ FOAMed:
- TORACOCENTESE GUIADA POR US: http://www.emdocs.net/ultrasound-guided-thoracentesis/
- MEDIASTINITE: FOCO NO DE: http://www.emdocs.net/mediastinitis-ed-focused-basics/
- PERFURAÇÃO ESOFAGIANA: http://www.emdocs.net/em3am-esophageal-perforation/
- http://www.emdocs.net/esophageal-perforation-pearls-and-pitfalls-for-the-resuscitation-room/

Deixe uma resposta